Przegląd kapsułek Urosaf oraz doświadczenie stosowania leku w leczeniu zapalenia grupy grupy z Diego z Lanus

Nigdy nie myślałem, że będę musiał być leczony z powodu zapalenia prostaty. Po infekcji seksualnej wystąpiła komplikacja. Przepisali dużą dawkę antybiotyków, zaczęły się alergie, musieli je porzucić, a zapalenie prostaty rosło.
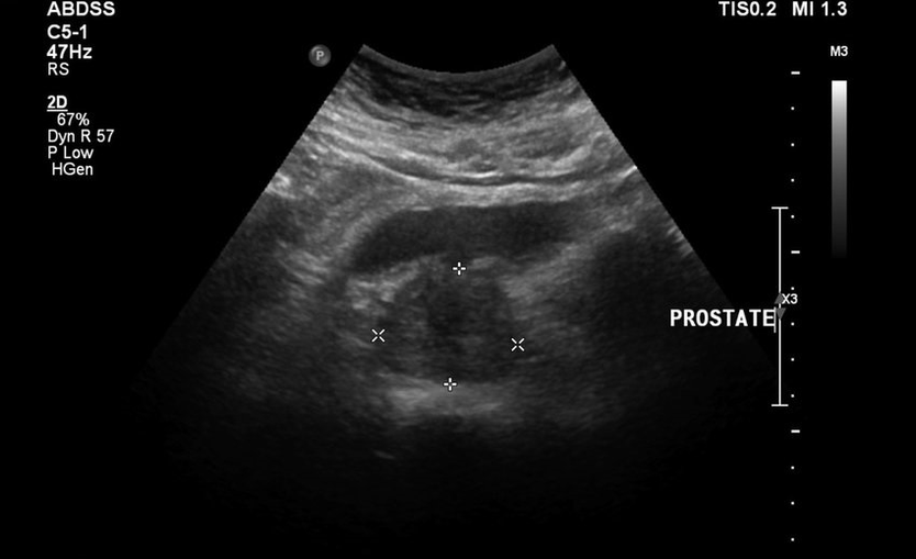
Nie pozwolili spokojnie gumowanego żyć, a potem dodano ból dolnej części pleców, testy i wyniki ultradźwięków były złe. Dosłownie niemożliwe było odejście od toalety, poczucie ciężkości w pachwinie i ciągłym bólu. Przepisano bezpośredni masaż prostaty, co pogrążyło mnie w panice. Zaczął szukać innych, mniej traumatycznych metod leczenia.
Znalazłem lek w Internecie Urosaf, recenzje były bardzo dobre, postanowiły zamówić. Pełne lekarstwo obiecano z powodu interakcji składników roślin. Szkoda dla męskiego ciała została całkowicie wykluczona.

To, co osobiście lubiłem: całkowicie naturalny skład roślin. Jak używać leku Urosaf, opisane szczegółowo w załączonych instrukcjach. Wziąłem produkt 2 razy dziennie, jedną kapsułkę rano i wieczorem.
Z ulgą mogłem już oddychać trzeciego dnia otrzymania kapsułek Urosaf, reset lewy, częstotliwość oddawania moczu zmniejszyła się, zniknęła zniknięcie bólu pachwinowego. Postanowiłem wypić miesięczny kurs do końca. W rezultacie wszystkie objawy negatywne zniknęły.
Po miesiącu przyjmowania kapsułek roślinnych Urosaf Wszystkie objawy zapalenia prostaty zniknęły, poprawa erekcji była przyjemnym bonusem, więc jestem bardziej niż zadowolony z wyniku terapii. Z pewnością mogę polecić lek wszystkim mężczyznom, którzy mają choroby gruczołu prostaty.